International Journal of Innovative Research in Medical Science
Vol. 8 No. 01 (2023)
Issue 8(01) 2023
January 2, 20237 ArticleseISSN: 2455-8737
Volume 8 · Issue 01
Published: January 2, 2023
Open AccessOriginal Article
Subcutaneos Implantable Cardioverter: Defibrillator: Is the Conventional Pre-Implant Screening Enough to Assess Eligibility?
Victoria Galizia Brito, Teresa Falcó Martinez, Aina Bibiloni Cladera, Diego Lozano Medina, Vicente Peral Disdier, María del Carmen Expósito Pineda, Carlos Grande Morales
International Journal of Innovative Research in Medical Science·January 1, 2023
Open AccessOriginal Article
Evaluation of Osteoporosis in Sickle-Cell Patients by Using Dual- Energy X-ray Absorptiometry in Selective Hospital
Mona Elhaj ELsheekh
International Journal of Innovative Research in Medical Science·January 2, 2023
Open AccessOriginal Article
The Carbon Dioxide Flushing Technique: A Novel Approach Using Oxygen Measurements to Evaluate the Elimination of Room Air from Thoracic Stent-Grafts
Kugarajah Arulrajah, Tilo Kölbel, Giuseppe Panuccio, Thomas Gandet, Fiona Rohlffs
International Journal of Innovative Research in Medical Science·January 2, 2023
Open AccessCase Report
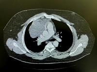
Spontaneous Regression of a Thymoma with Mild Pleural Effusion: A Case Report
Abdulaziz Alnassar
International Journal of Innovative Research in Medical Science·January 13, 2023
Open AccessReview Article
Patient Safety Policies and Practices among Selected Middle East Countries: Are We Walking on the Right Path?
Badr Madani
International Journal of Innovative Research in Medical Science·January 26, 2023
Open AccessOriginal Article
Lidocaine Gel for Transrectal Prostate Biopsy
Danagogo Okigbeye, Abhulimen Victor, Danagogo Tamunotonye
International Journal of Innovative Research in Medical Science·January 31, 2023
Open AccessOriginal Article
The Effect of Combining Blood Flow Restriction and Plyometric Exercise on Quadriceps Muscle Strength, Functional Ability and Balance Capacity - A Pilot Study Amongst Amateur Soccer Players
Georgios Krekoukias, Christina Papakonstantinou, Elias Tsepis, Konstantinos Fousekis, Maria Tsekoura, Pavlos Aggelopoulos, Evdokia Billis
International Journal of Innovative Research in Medical Science·January 31, 2023
