International Journal of Innovative Research in Medical Science
Vol. 7 No. 11 (2022)
Issue 7(11) 2022
November 1, 202223 ArticleseISSN: 2455-8737
Volume 7 · Issue 11
Published: November 1, 2022
Open AccessOriginal Article
Trends of Referrals Throughout the Kingdom, A Retrospective Analysis of the Saudi Medical Appointments and Referrals Centre Registry, Saudi Arabia
Abdulaziz Alnassar, Nawfal Aljerian, Abdulaziz Alhosaini, Ali Alsultan, Lyla Ashry, Sawsan Alharthi, Mohammed Arafat, Abdulrahman Aldhabib, Ibrahim Almohaimeed, Ahmed Aloqayli, Sara Albanyan, Bader Alrabiah, Abdullah Salim
International Journal of Innovative Research in Medical Science·November 1, 2022
Open AccessOriginal Article
The Prevalence of Use of FOAMED Sources Among Saudi Emergency Medicine Residents: A Cross Sectional Study
Yasser Alaska, Ahmed Aloqayli, Rakan Almogheer, Nawfal Aljerian, Mohammed Arafat, Abdulrahman Aldhubib, Ibrahim Almohaimeed, Ali Alsultan, Abdulaziz Alhosaini, Bader AlRabiah, Sara AlBanyan, Lyla Ashry, Ahad Alanazi
International Journal of Innovative Research in Medical Science·November 1, 2022
Open AccessOriginal Article
Impact of Covid - 19 Pandemic on Medical Training and Well-Being of Medical Students
Richa Ghay, Manjinder Kaur, Varidhi Thaman, Muskan Singh
International Journal of Innovative Research in Medical Science·November 2, 2022
Open AccessOriginal Article
Examination of Surgically Important Healthy Life Expectancy and Respiratory Tract Deaths: The Relationship between Tuberculosis-Related Deaths and Health Adjusted Life Expectancy (HALE)
Dr. İsmail ÖZSAN
International Journal of Innovative Research in Medical Science·November 2, 2022
Open AccessOriginal Article
Student Nurses as Modern Digital Nomads: Developing Nursing Skills Competence and Confidence through Video-Based Learning
Nermine M. Elcokany, Joanne Jaramillo, Maria B. Blesilda Llaguno, Mohamed M. Seweid, Ola Mousa
International Journal of Innovative Research in Medical Science·November 2, 2022
Open AccessOriginal Article
A Retrospective Study on Diagnosing Efficacy of Transvaginal Sonography Versus Hysteroscopy in Abnormal Uterine Bleeding
Dr. Priyanka Chaudhary, Dr. Poonam Singh, Dr Rehana Najam, Dr Shubhra Shrivastava, Dr Astha Lalwani
International Journal of Innovative Research in Medical Science·November 3, 2022
Open AccessCase Report
Adult Presentation of Multisystem Inflammatory Syndrome (MIS-A) Post COVID-19 Infection Associated with Myocarditis and Heart Failure: A Case Report
Fadlallah A. Tarhini, Mariam R. Issawi, Wael H. Zorkot, Chirine Moulai, Hussein Taleb
International Journal of Innovative Research in Medical Science·November 4, 2022
Open AccessOriginal Article
Comparative Study of Autologous Peroneus Longus Versus Hamstring Tendon for Anterior Cruciate Ligament Reconstruction in Knee
Dr. Anurag Singh, Dr. Rohan Krishnan, Dr. Jaiveer Singh
International Journal of Innovative Research in Medical Science·November 4, 2022
Open AccessCase Report
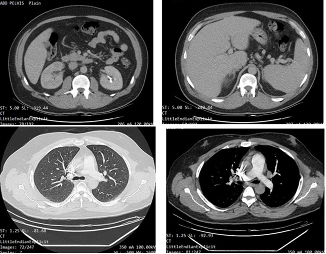
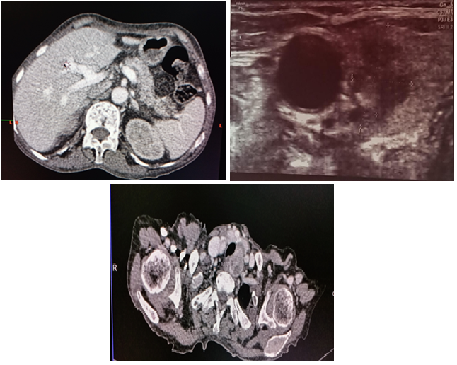
Diagnostic Dilemma of Hepatic Tuberculosis in Presence of Portal Hypertension: A Rare and Relevant Case
F. Aharbil, S. Boudda, A. Ait Errami, Z. Samlani, S. Oubaha, Khadija Krati
International Journal of Innovative Research in Medical Science·November 5, 2022
Open AccessCase Report
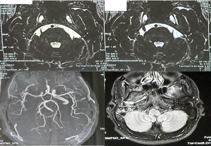
Traumatic Thrombosis of the Intra-Petrous and Cavernous Segment of the Internal Carotid Revealed by Otological Symptoms: A Case Report
Sara Rochd, Othmane Benhoummad, Fatimezzahra Rizkou, Youssef Lakhdar, Youssef Rochdi, Abdelaziz Raji
International Journal of Innovative Research in Medical Science·November 5, 2022
Open AccessCase Report
Hypercalcemic Pancreatitis: A Rare Type of Acute Pancreatitis Caused by a Parathyroid Adenoma
Jihane Rizkou, Hala Aouroud, Acila Handa, Khadija Krati
International Journal of Innovative Research in Medical Science·November 5, 2022
Open AccessOriginal Article
Severe Acute Colitis: A Countdown Diagnostic Challenge
Oussama Nacir, Abbas Riyad, Adil Ait Errami, Sofia Oubaha, Zouhour Samlani, Khadija Krati
International Journal of Innovative Research in Medical Science·November 17, 2022
Open AccessOriginal Article
Pulse Contour Cardiac Output System Monitoring in Pediatric Patients Undergoing Orthotopic Liver Transplantation
Zeynep Ersoy, MD, Zeliha Aycan Ozdemirkan, Pinar Zeyneloglu, Nedim Cekmen, Adnan Torgay, Zeynep Kayhan, Mehmet Haberal
International Journal of Innovative Research in Medical Science·November 18, 2022
Open AccessReview Article
Evolution in Management of Enterocutaneous Fistulas: An Historic Perspective and Updates
Arianna Ruiz Berrones, Esperanza Sánchez Castrejón, José Á. Tovar Ramírez Ramírez, R. Lucano Valdés Ramos Ramos, Mariano Tovar Ponce Ponce, Alejandro Domínguez Biu Biu, Mauricio Martínez Hurtado, Julio C. Matadamas Talledos, Saúl Martínez Jiménez, Ludwigvan A. Bustamante Silva
International Journal of Innovative Research in Medical Science·November 18, 2022
Open AccessOriginal Article
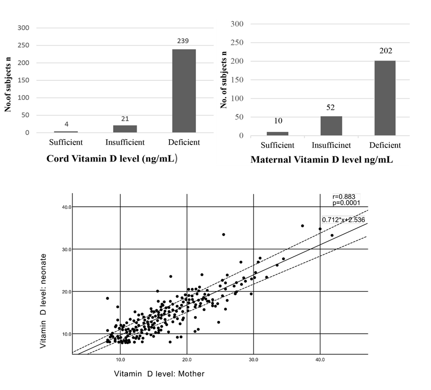
Correlation Between Maternal-Neonatal Vitamin D Status and it’s Related to Supplementation in Mongolian Pregnant Women
Naranchimeg Tsedendamba, Gerelmaa Zagd, Otgonbayar Radnaa, Nomundari Baatar, ODONGUA NEMEKHEE
International Journal of Innovative Research in Medical Science·November 18, 2022
Open AccessOriginal Article
Bone Defects Following Trauma, Managed by Non-Vascularized Fibular Strut Graft: A Single Centre Study
Sumedh Kumar, Tushar Sachdev, Ankush Ratanpal, Aman Thakur, Bhanu Pratap Singh, Anuj Kumar Ekka
International Journal of Innovative Research in Medical Science·November 18, 2022
Open AccessOriginal Article
Knowledge, Attitude and Practice of ENT Physicians Considering Thyroid Nodules During Pregnancy: A Cross-Sectional Study
Bashayer Alsaeedi, MD, Shahad Albusairi Albusairi, Alaa Abdulrahim Abdulrahim, Hanaa Fayez, MD
International Journal of Innovative Research in Medical Science·November 18, 2022
Open AccessOriginal Article
Prevalence of Thrombocytopenia and Platelet Dysfunction in Women Delivering at a Tertiary Care Hospital and Prevalence of Platelet Abnormalities in their Neonates with Perinatal Outcomes: A Retrospective Study
Vaidyanathan Gowri, Miriam George fenn, Al Muhanad Al Abri, Lubna Al Hashmi
International Journal of Innovative Research in Medical Science·November 19, 2022
Open AccessReview Article
Women with Attention Deficit Hyperactivity Disorder and Perinatal Distress: A Literature Review
EVANGELIA ANTONIOU, Alexandros Papatrechas, Eirini Orovou
International Journal of Innovative Research in Medical Science·November 19, 2022
Open AccessCase Report
Unmasking Disseminated Histoplasmosis Immune Reconstitution with Adrenal Insufficiency in a HIV Infected on HAART
Dr ARVIND MN, Dr Bhargav V Bhat, Monika N
International Journal of Innovative Research in Medical Science·November 20, 2022
Open AccessReview Article
Metabolomics and Its Role in Inflammatory Bowel Disease: What Do We Know?
Nikolay Tsonev, Dimitar Zvezdov, D. Gashkova, D. Andreeva, M. Stefanova
International Journal of Innovative Research in Medical Science·November 20, 2022
Open AccessReview Article
Artificial Intelligence in Health care and its application in Saudi Arabia
Nawfal Aljerian, Mohammad Arafat, Abdulrahman Aldhubib, Ibrahim Almohaimeed, Ali Alsultan, Abdulaziz Alhosaini, Ahmed Aloqayli, Bader AlRabiah, Sara AlBanyan, Lyla Bin Ashry, Razan AlGhassab, Razan Alzahrani, Ghadah Alhenaki, Esraa Alnazzawi, Aseel AlMughaiseeb, Ahad Alanazi
International Journal of Innovative Research in Medical Science·November 20, 2022
Open AccessBrief Report
Traumatic Birth Experience with Cesarean Section and Breastfeeding Outcomes
EIRINI OROVOU, Panagiotis Eskitzis, Evangelia Antoniou
International Journal of Innovative Research in Medical Science·November 20, 2022
