International Journal of Innovative Research in Medical Science
Vol. 7 No. 08 (2022)
Issue 7(08) 2022
August 1, 202210 ArticleseISSN: 2455-8737
Volume 7 · Issue 08
Published: August 1, 2022
Open AccessOriginal Article
Emergency Appendectomy in UK: A Single Center Retrospective Cohort Study
Muhammad Fahim, Sadia Ijaz Abbasi, Ajay Belgaumkar, Ian Maheswaran
International Journal of Innovative Research in Medical Science·August 5, 2022
Open AccessOriginal Article
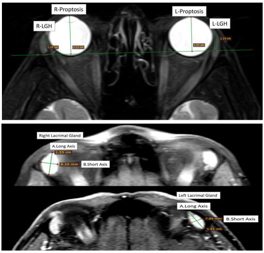
Lacrimal Gland Measurements in Patients with Graves’ Ophthalmopathy
Elmas Yuksel, MD, Abdullah Sukun, MD
International Journal of Innovative Research in Medical Science·August 5, 2022
Open AccessOriginal Article
Knowledge, Attitude, And Practice of Infection Control Measurement During Covid-19 Pandemic Among Dental Assistant in Hafar Al-Batin, Saudi Arabia
Maha Jubayr Aldhafeeri, Ali Falah Al-Mutairi, Dalail Batah A Aldhafeeri, Seta Mohammed Alsuhali, Nawal Batah A Aldhafeeri, Khames T. Alzahrani
International Journal of Innovative Research in Medical Science·August 5, 2022
Open AccessCase Report
Comminuted Scapular Body Fracture after Seizure
Abdulmohsen Hamad Hamed Alhamyani, Mokhtar Ahmed Alsayed
International Journal of Innovative Research in Medical Science·August 10, 2022
Open AccessCase Report
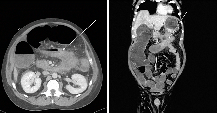
Mechanical Colonic Obstruction as A Complication of Necrotizing Pancreatitis: A Case Report and Literature Review
Dr. Shahad Al-Ghamdi, Dr. Ayed Al-Mutairi
International Journal of Innovative Research in Medical Science·August 10, 2022
Open AccessCase Report
Congenital Pseudoarthrosis of Clavicle: A Case Report and Review of Literature
Abdulaziz Saleh Alharthi, Mokhtar Ahmed Alsayed
International Journal of Innovative Research in Medical Science·August 16, 2022
Open AccessOriginal Article
Impact of Ayurveda Based Ischemia Reversal Program (IRP) And Polyherbal Medication on Reduction of Resting Myocardial Ischemia with Speckle Tracking Global Longitudinal Strain Imaging in Type 2 Diabetes Mellitus Patients
Rohit Sane, MD, Pramod Manohar, Rahul Mandole, Gurudatta Amin, Pravin Ghadigaonkar, Snehal Dongre, Prafull Yanshwantrao, Dinesh Patil, Rahul Jadhav
International Journal of Innovative Research in Medical Science·August 19, 2022
Open AccessReview Article
Toxocarasis and the Epilepsy as Clinical Process in Childhood
Aline M. Vitorino, Naira B. Aidar, João V. F. Gonzatti, Carollyne R. Guerra, Alissa A. Magalhães, Gabriela M. Ferraz, Giovanni P. Pio, Isabela M.S. Maior, Juscelino P. Junior, Larissa P. Costa, Luisa C. Dib, Eduardo M. Cammerer
International Journal of Innovative Research in Medical Science·August 20, 2022
Open AccessOriginal Article
Depression Among Resident Doctors: Prevalence and Associated Factors in A Tertiary Institution in South-South Nigeria
Ndukwu U. Geraldine, Olamuyiwa E. Temitope, Affiong N. D. John
International Journal of Innovative Research in Medical Science·August 30, 2022
Open AccessCase Report
Subacute Combined Degeneration of Spinal Cord - The Only Manifestation in an Otherwise “Normal” Vitamin B12 Deficient Patient
Dr Darshankumar Manubhai Raval, MD, Nritya Brijesh Trivedi, Shraddha Trivedi, Yash Vaghasiya, Aditi Parida
International Journal of Innovative Research in Medical Science·August 30, 2022
