International Journal of Innovative Research in Medical Science
Vol. 7 No. 06 (2022)
Issue 7(06) 2022
June 1, 20226 ArticleseISSN: 2455-8737
Volume 7 · Issue 06
Published: June 1, 2022
Open AccessOriginal Article
Evidence For Cannabidiol Modulation of Serotonergic Transmission in a Model of Osteoarthritis via in vivo PET Imaging and Behavioral Assessment
Yu-Shin Ding, PhD, Jiacheng Wang, Vinay Kumar, James Ciaccio, Sami Dakhel, Cathy Tan, Jonathan Kim, Sabrina Lee, Hilla Katz-Lichtenstein, Zakia Gironda, Orin Mishkit, Jakub Mroz, Raul Jackson, Grace Yoon, Begona Gamallo-Lana, Molly Klores, Adam Mar
International Journal of Innovative Research in Medical Science·June 3, 2022
Open AccessCase Report
Primary Sclerosing Encapsulating Peritonitis in an Adult Male: A Case Report
Alaa Haydar, M.D., Hussein Kaouk, M.D., Zeina Sawaya, M.D., Marita Saliba, Reina Ibrahim, Claude Tayar, M.D.
International Journal of Innovative Research in Medical Science·June 3, 2022
Open AccessOriginal Article
Spectrum of Disorders Diagnosed on 99mTc-MAG3 Radioisotope Renography: A Report of 260 Saudi Arabian Patients
Amin Elzaki
International Journal of Innovative Research in Medical Science·June 15, 2022
Open AccessOriginal Article
Identification of a Guanine-Rich-Oligonucleotides (GRO) in the Promoter of the MYCN Gene which Inhibits Neuroblastoma Growth
Md Ashraful Islam, Fadlan A Sheikh, Shelia D Thomas, Tarek Magrabi, Tariq Alrashid, Donald M Miller
International Journal of Innovative Research in Medical Science·June 20, 2022
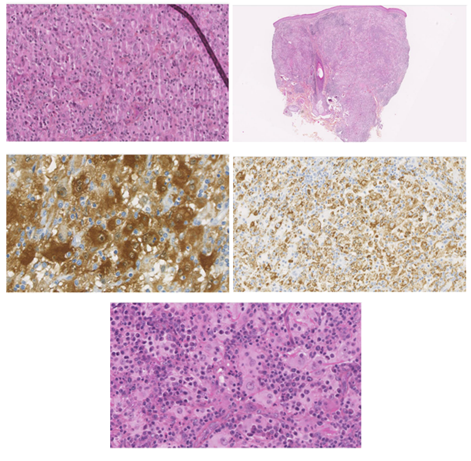
Open AccessCase Series
Clinical and Diagnostic Characteristics of Rosai Dorfman Disease: A Case Series
Khaled Alrabiah, Selim Aractingi, Pierre Sohier
International Journal of Innovative Research in Medical Science·June 22, 2022
Open AccessMini Review
Type II Myocardial Infarction: What Do We Know?
Muneera Altaweel, Sarah AlMukhaylid, Faisal AlAnazi, Abdullah AlRammadan, Ibrahim Altuwaim
International Journal of Innovative Research in Medical Science·June 25, 2022
