International Journal of Innovative Research in Medical Science
Vol. 6 No. 08 (2021)
Issue 6(08) 2021
August 1, 20218 ArticleseISSN: 2455-8737
Volume 6 · Issue 08
Published: August 1, 2021
Open AccessCase Report
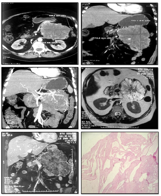
Cystic Lymphangioma of the Pancreas: About A Case and Literature Review
Dr Kouassi Armel Serge Kouame, Dr Aboulfeth El Mehdi, Dr Bouzroud Mohamed, Pr Najih Mohamed, Pr Kaoui Hakim, Pr Bounaim Ahmed
International Journal of Innovative Research in Medical Science·August 1, 2021
Open AccessCase Report
Dural Arteriovenous Fistulas - Regarding Two Clinical Cases
Cristiana Fernandes, Sara Varanda, José Manuel Amorim, José Nuno Alves, Carla Ferreira
International Journal of Innovative Research in Medical Science·August 1, 2021
Open AccessCase Report
Hodgkin Lymphoma in Multifocal Unilateral Breast Cancer: Is it Simple Coincidence?
Aya Al-Rashdi, Badryia Al Qassabi, Radiya Al Ajmi, Suad Al Aghbari
International Journal of Innovative Research in Medical Science·August 1, 2021
Open AccessMini Review
Adolescent Contraceptives
Shaikh Zinnat Ara Nasreen, Sabereen Huq, Saleheen Huq, Safinaz Shahreen
International Journal of Innovative Research in Medical Science·August 2, 2021
Open AccessCase Report
Coetaneous Presentation of Oral Leukoplakia and Oral Submucous Fibrosis with High Grade Dysplasia and Its Management with Lasers: A Case Report
Preethi R, Malarkodi T, Arvind Krishnamurthy, Aravind Warrier S
International Journal of Innovative Research in Medical Science·August 2, 2021
Open AccessOriginal Article
Factors Influencing the Relationship between Coffee, Tea Consumption and Dental Caries in Saudi Arabia
Hawraa Alsunni, Rabab AlJumian, Sarah AlSalman, Reham AlFaraj, Fatimah AlMatrook, Khames Alzahrani
International Journal of Innovative Research in Medical Science·August 8, 2021
Open AccessOriginal Article
Spinal Dysraphism: Presentation, Management and Outcome of Patients undergoing Surgery
Dr. Vipul Kumar Gupta, Dr. Ankur Bhat, Shilpi Sharma, Dr. Bhumika Gupta
International Journal of Innovative Research in Medical Science·August 15, 2021
Open AccessOriginal Article
The Effect of Bariatric Surgery on Patients with Chronic Disease in KSMC
Abdullah Ahmed Aloraini, Abdulelah Sulaiman Alsughayyir, Abdullah Khaled Alamri, Haitham Shayea Alshayea, Mohammed AlMesned
International Journal of Innovative Research in Medical Science·August 18, 2021
