International Journal of Innovative Research in Medical Science
Vol. 6 No. 02 (2021)
Issue 6(02) 2021
February 1, 202116 ArticleseISSN: 2455-8737
Volume 6 · Issue 02
Published: February 1, 2021
Open AccessOriginal Article
A Randomized, Multicentric, Open Label, Interventional Study to Evaluate the Efficacy and Tolerability of Four Types of Amrutanjan Pain Balms for Pain Relief in Patients with Primary Type of Headache and Body Pain Disorders
Ramesh Kannan, Sakthi Balan, Aravinda Kumar, Ravichandran J, Manigandan G, Ananda Babu
International Journal of Innovative Research in Medical Science·February 1, 2021
Open AccessOriginal Article
Assessment of Pharmacist Led Patient Counseling Program for Hypertension Management: The Transformative Role of Community Pharmacies in Chronic Disease Management
Madeeha Malik, Usman Aslam, Azhar Hussain, Ayisha Hashmi
International Journal of Innovative Research in Medical Science·February 1, 2021
Open AccessCase Report
Assessing Effectiveness of a Chiropractic Adjustment for an Individual Patient: A Case Study in Methodology
John Hart, DC, MHSc
International Journal of Innovative Research in Medical Science·February 1, 2021
Open AccessCase Report
Brucella Species Infection of Ventricular-peritoneal Shunt: A Rare form of Neurobrucellosis Presenting as an Intra-abdominal Mass
Nawal A Al-Kindi, Aisha A Al-Bulushi, Qasim S Al-Hinai, Nuha A Al Tahir, Khalsa Al-Ramadhani, Amal S Al-Maani
International Journal of Innovative Research in Medical Science·February 1, 2021
Open AccessCase Report
COVID-19 Cases: Definitive, or Not?
Ethem Bilgiç, Mehmet Çoban
International Journal of Innovative Research in Medical Science·February 1, 2021
Open AccessCase Report
Giant Splenic Artery Pseudoaneurysm Mimicking Pancreatic Mass
R. A. Mammadov, S. S. Mammadova, F. A. Gahramanova, Sh. A. Mammadova, A. B. Hasanov, N. Yu. Bayramov
International Journal of Innovative Research in Medical Science·February 1, 2021
Open AccessOriginal Article
A Non-Invasive Tool to Quantify Autonomic Dysfunctuion: A Prognostic Indicator in Covid-19
Avinash H Rajanna, Jayanthi C R, Swetha R, Subramani, Deepak Padmanabhan, Ramesh Revanna, Vikas N, Vijay Vasudev, Shahari Hegde, Chaitra Rao
International Journal of Innovative Research in Medical Science·February 1, 2021
Open AccessOriginal Article
Human Factors and Peri-operative Safety: Compliance with Five Steps to Safer Surgery (5STSS) Protocols at an NHS Hospital during the SARS-CoV2 Pandemic1 - Human Factors Implications
Dr Asekhame Oise Isemede, Dr Sarah O. Beckley
International Journal of Innovative Research in Medical Science·February 1, 2021
Open AccessCase Report
A Case of 'Camouflaged Insulinoma & Diazoxide Quandary
Dr Sonam Tshering, Dr Saquib Navid Siddiqui, Dr Irfan Khan
International Journal of Innovative Research in Medical Science·February 1, 2021
Open AccessOriginal Article
Factors Associated with Missed Hip Fractures
Timothy J Walden M.D., Erin A Kelly M.S., Sanjit R Konda M.D., Kenneth A Egol M.D.
International Journal of Innovative Research in Medical Science·February 1, 2021
Open AccessOriginal Article
Intravenous Palonosetron for Attenuation of Hypotensive Response and Bradycardia during Spinal Anaesthesia
Suvidha Sood, M.D., Yogesh Roy, MBBS, Anupriya Saxena, MBBS
International Journal of Innovative Research in Medical Science·February 1, 2021
Open AccessCase Report
Simultaneous Distal Radius Fracture with Acute Radial Artery Injury: Is it a Unique Complex Injury or a Misdiagnosis Lesion?
Kastanis G, Pantouvaki A, Magarakis G, Chaniotakis C, Christoforidis C, Kapsetakis P
International Journal of Innovative Research in Medical Science·February 1, 2021
Open AccessOriginal Article
Factors Influencing the Quality of Life in Patients with Chronic Kidney Failure Subject To Hemodialysis
José Luis Gamarra Insfrán, Renato Soares Sanches Dias, Cristina José Fernandes Sanches
International Journal of Innovative Research in Medical Science·February 24, 2021
Open AccessOriginal Article
To Compare the Outcome of Patients Who Are Receiving Remdesivir within 10 Days of Symptom Onset to those Receiving Remdesivir after 10 Days of Symptom Onset
Avinash H R, Satyanarayana N, Vaibhav S B, Pratheek P
International Journal of Innovative Research in Medical Science·February 24, 2021
Open AccessCase Report
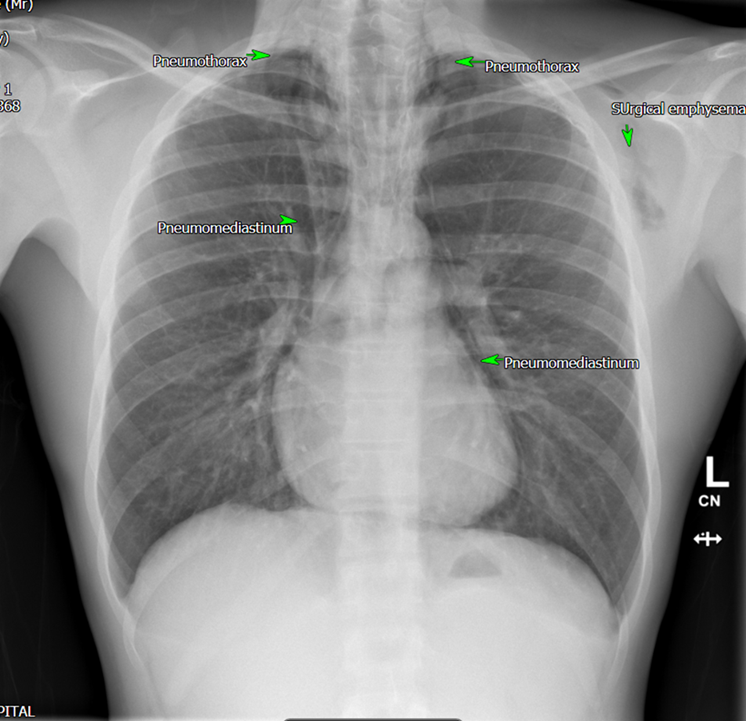
Spontaneous Pneumomediastinum, Pneumothoraces and Surgical Emphysema in a COVID-19 Patient
Dr Sonam Tshering, Dr Saquib Navid Siddiqui, Dr Osman Ahmed, Dr Sangay Phuntsho
International Journal of Innovative Research in Medical Science·February 24, 2021
Open AccessOriginal Article
To Study the Correlation of Serum Cholinesterase Level With Different Scoring Systems in Cirrhosis of the Liver
Jagadeesh B S, Ravi K, Avinash H R, Nitish Ashok Gurav
International Journal of Innovative Research in Medical Science·February 25, 2021
