International Journal of Innovative Research in Medical Science
Vol. 6 No. 01 (2021)
Issue 6(01) 2021
January 1, 202114 ArticleseISSN: 2455-8737
Volume 6 · Issue 01
Published: January 1, 2021
Open AccessOriginal Article
Patient Knowledge, Experience and Preferences towards HIV Differentiated Care Service in Kiambu County, Kenya
Beatrice May Onyango, Joseph Wang‘ombe, Collins O. Odhiambo
International Journal of Innovative Research in Medical Science·January 1, 2021
Open AccessOriginal Article
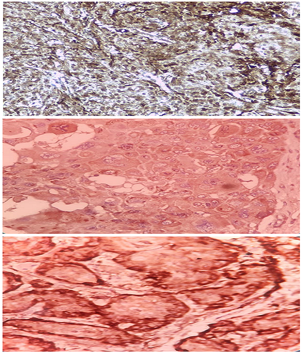
Laminin - A Prognostic Marker in Oral Squamous Cell Carcinoma
Dr. Sushanta Kumar Singh, Dr. Gayatri Rath, Dr. Ashok Kumar Panda
International Journal of Innovative Research in Medical Science·January 1, 2021
Open AccessReview Article
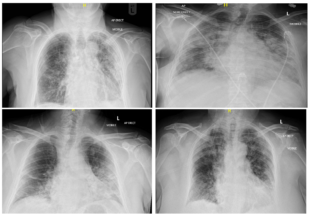
The Role of Chest X-Ray in Intensive Care Unit
Mayson Ahmed Wanasi Khair, Shouq Mohammed Alamri, Ahlam Hameed Alrashidi, Malak Abdulrahman Lharbi, Yosra Saleh Al-moghamsi, Mashaeel Musallam Alharbi
International Journal of Innovative Research in Medical Science·January 1, 2021
Open AccessOriginal Article
Clinical Validation of Natural Plant Based Skincare Supplement in Healthy Subjects
Dr. Vidyadhar Kumbhar, Dr. Veena Deo, Ankush Chourasia, Dr. Gayatri Ganu, Dr. Rupali Mali
International Journal of Innovative Research in Medical Science·January 5, 2021
Open AccessReview Article
Clinical Application of Genetic Prediction in the Management of CAD
Robert Roberts, Jacques Fair
International Journal of Innovative Research in Medical Science·January 8, 2021
Open AccessCase Report
Giant Encapsulated Anterior Abdominal Wall Haematoma Complicating Mesh Incisional Hernia Repair: Challenges of Management in a High-Risk Term Pregnancy in a Low Resource Setting
Anwar Sadat Seidu, David P. Suoseg, Bernard N. Maanikuu, Musah Yakubu, Imoro Osman, Emmanuel A.N. Azure, Haruna Danamiji Osman, John F. Busuuri, Abdul-Latif Alhassan, Abdul Aziz Ewura, Gerald Batariwah, Munkaila Adam, Mohammed I. S. Bukari, Abdul-Jalilu Muntaka Mohammed, Der EM
International Journal of Innovative Research in Medical Science·January 8, 2021
Open AccessOriginal Article
Changes in Musculoskeletal Discomfort and Postural Alignment According to the Height of the Worktable When VDT Activities were Performed by Patients in a Wheelchair with C6 and T6 Spinal Cord Injuries
Bo-Ra Kang, Jeong-Weon Lee
International Journal of Innovative Research in Medical Science·January 8, 2021
Open AccessOriginal Article
Comparing Neonatal Pain Responses to Intravenous and Intramuscular Injections and Effect of Non- Pharmacological Measures
Dr. Pearl Mary Varughese, Dr. Nandita Pai, Dr. Prakash M.
International Journal of Innovative Research in Medical Science·January 8, 2021
Open AccessOriginal Article
Knowledge and Practices Assessment of Decontamination during Root Canal Treatment in Saudi Arabia
Necdet Adanir, Hassan Alkhalaf, Maram H. Alanazi, Asma S. Alghamdi, Abdullah A. Aljami, Amjad O. Aljohani, Khames T. Alzahrani
International Journal of Innovative Research in Medical Science·January 11, 2021
Open AccessOriginal Article
Assessment of Females Awareness in Saudi Arabia about Long term use of COCP and Venous Thromboembolism Risk: A Cross Sectional Study
Basmah Mohammed Alazmi, Shaikha Sulayyem Alsharari, Razan motawkel, Sara Alzahrani, Anhar Alfateel, Jinan Msallati, Noora Abdulhafeedh Alsulami, Abdulaziz Aloudah
International Journal of Innovative Research in Medical Science·January 14, 2021
Open AccessCase Series
Is Standard Oral Dose Dexamethasone (6mg Once Daily) Prescribed For COVID-19 Pneumonitis Treating Autoimmune Haemolytic Anaemia Associated with COVID-19? A Case Series of Five Patients Providing Us with the Answer
Dr. Saquib Navid Siddiqui
International Journal of Innovative Research in Medical Science·January 15, 2021
Open AccessCase Report
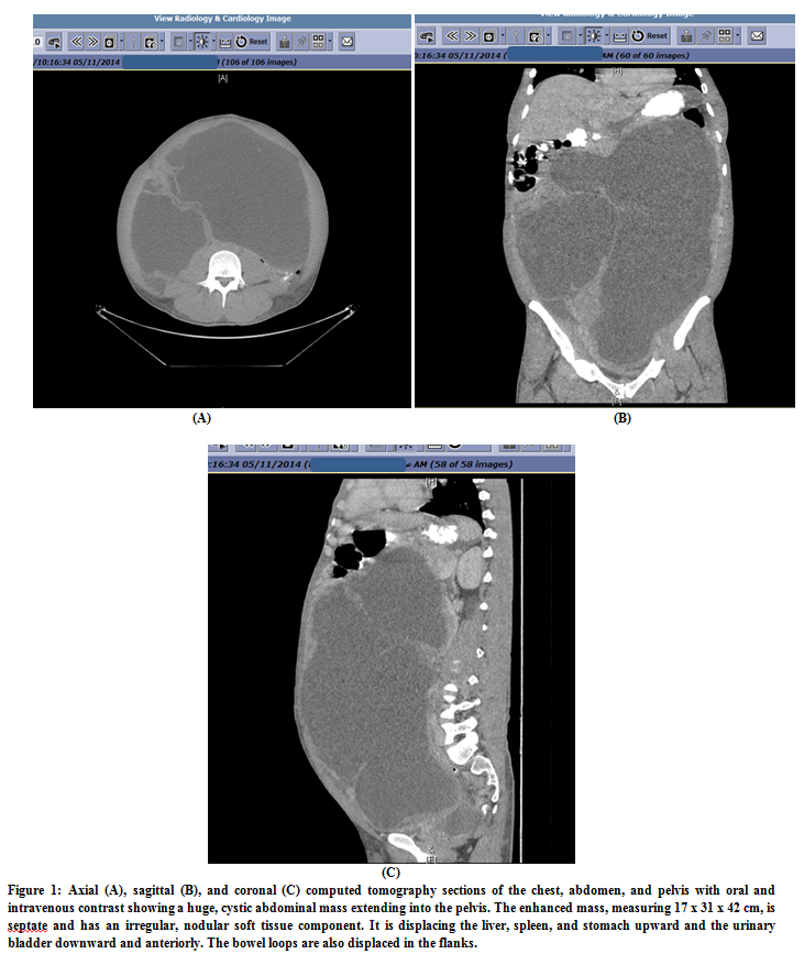
A Rare Case of a Giant Retroperitoneal Gastrointestinal Stromal Tumor of Malignant Potential
Abdullah M. Alshamrani, Meshare A Albattah, Rasha A Bssas, Fatemah Y Alhedaithy, Mshaeel H Almutairi, Mohayad A Bkheite, Salih H Albishri
International Journal of Innovative Research in Medical Science·January 15, 2021
Open AccessOriginal Article
Flexural Strength of Composite Based Provisional Crown Materials
Osama Qutub, Salman Khalid Bashnani, Faisal Khalid Bashnaini
International Journal of Innovative Research in Medical Science·January 19, 2021
Open AccessOriginal Article
The Prevalence of Ketogenic Diet among Adults with Chronic Disease in Saudi Arabia
Khalid Abdullah Algamdi, Sajidah Hisham Abu Alsaud, Ghada Badr Alghubaini, Muna Mustafa Alsaggaf, Ibtisam Ahmed Altalhi, Jood Sami Asali, Shada Mohammed Abyad, Khames T. Alzahrani
International Journal of Innovative Research in Medical Science·January 21, 2021
