International Journal of Innovative Research in Medical Science
Vol. 5 No. 12 (2020)
Issue 5(12) 2020
December 1, 202017 ArticleseISSN: 2455-8737
Volume 5 · Issue 12
Published: December 1, 2020
Open AccessOriginal Article
A Cross-Sectional Overview: The Effect of the Covid-19 Pandemic on the Flow Rate of Orthopedic Trauma Cases in Kuwait
Saleh Alsaifi, Ahmad Boskandar, Saleh Alkhaldi, Aliaa Khaja, Meshal Alhadhoud
International Journal of Innovative Research in Medical Science·December 1, 2020
Open AccessOriginal Article
Indirect Restorative Materials and Techniques Selection and Used by General Dentists in Riyadh, Kingdom of Saudi Arabia
Yasmine Tarek, Nawar AlDeghaishem, Raghad AlNassar, Alaa AlKhamsan, Khames T. Alzahrani
International Journal of Innovative Research in Medical Science·December 4, 2020
Open AccessOriginal Article
Cross-Cultural Adaptation and Psychometric Properties of an Arabic Version of the Western Ontario Shoulder Instability Index (WOSI)
Dr Aliaa Khaja, Dr Ahmed Bouhamra, Dr Sager Hanna, Dr Ali Maqdis
International Journal of Innovative Research in Medical Science·December 4, 2020
Open AccessOriginal Article
Neurological Manifestations of Systemic Lupus Erytematosus
Hernández Ramos, F. J., Hernández Chamorro, F. J., Medina Rodríguez, M., Palomino García, A., Jiménez Hernández, M.D.
International Journal of Innovative Research in Medical Science·December 5, 2020
Open AccessClinical Case
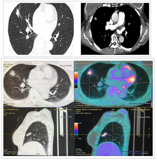
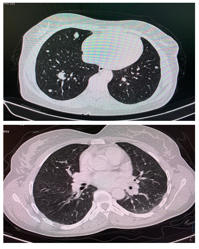
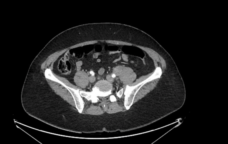
Primary Lung Cancer Versus Metastasis of Thyroid Cancer the Utility of FDG PET CT
Sánchez-Ríos Carla Paola, Guzmán-Casta Jordi, Riera-Sala Rodrigo Fernando, López-Vratny Claudia, Hernández-Dehesa Itzel Ariadna, González-Araujo Andrea, Correa-Cano Rafael, Peña-Mirabal Erika, Aguirre-Pérez Natalia, Ayala-Domínguez Adriana, Elvira-Fabián Karina, Carrasco-Cara Chards Sonia, Martínez-Barrera Luis Manuel, Rodríguez-Cid Jerónimo Rafael, Alatorre-Alexander Jorge Arturo
International Journal of Innovative Research in Medical Science·December 12, 2020
Open AccessCase Report
Rapid and Elevated Tumor Responses to Wekley Paclitaxel for AIDS-Related Kaposi Sarcoma
S. Berrad, K. Oualla, V. W. Lokonga, L. Nouiakh, H. Erraichi, L. Amaadour, Z. Benbrahim, S. Arifi, N. Mellas
International Journal of Innovative Research in Medical Science·December 12, 2020
Open AccessOriginal Article
Polysomnographic Evaluation of OSA in Patients of Bronchial Asthma
Dar Mohd Yousoof, Jamal Mohammad, Mir Shahnawaz, Shah Naveed Nazir, Dar Khursheed, Syed Suriya
International Journal of Innovative Research in Medical Science·December 12, 2020
Open AccessCase Report
Necrotizing Fasciitis of the Anterior Abdominal Wall: A Rare Complication of Neglected Strangulated Richter’s Epigastric Hernia
Anwar Sadat Seidu, Edwin M. T. Yenli, Martin Kyereh, David P. Suoseg, Musah Yakubu, Bernard N. Maanikuu, Gerald Batariwah, Emmanuel A. N. Azure, Imoro Osman, Haruna Danamiji Osman, Abdul-Latif Alhassan, Abdul Aziz Ewura, John F. Busuuri
International Journal of Innovative Research in Medical Science·December 12, 2020
Open AccessOriginal Article
Refractory Thyroid Carcinomas: Experience of the Medical Oncology Department of Hassan II Hospital in Fez, Morocco
Lamyae Nouiakh, Karima Oualla, Hajar Ouahbi, Soumia Berrad, Hayat Erraichi, Lamiae Amaadour, Zineb Benbrahim, Samia Arifi, Meryem boubou, Nawfel Mellas
International Journal of Innovative Research in Medical Science·December 13, 2020
Open AccessReview Article
Dental Implants: Prevalence, Association with Periodontal Diseases and Awareness of Oral Hygiene among Dental Implant Patients in Saudi Arabia: A Cross-Sectional Study
Amal Abushal, Malak Alqudsi, Nujood Alahmadi, Mohammed Almalsi, Haifa Alharbi, Eman Anaim, Manal Murad, Huda Abousada
International Journal of Innovative Research in Medical Science·December 14, 2020
Open AccessCase Report
Ovarian Cancer Revealed by Paraneoplastic Cerebellar Degeneration Anti-Yo Positive: A Case Report
Hayat Erraichi, Niaina Ezra Randriamanovontsoa, Valère Litique, Jean-Marc Limacher, S. Berrad, Karima Oualla, Lamiae Ammadour, Zineb Benbrahim, S. Arifi, Nawfal Mellas
International Journal of Innovative Research in Medical Science·December 20, 2020
Open AccessReview Article
Prevalence of Orthopedic Problems in Medical Staff in KSA
Manal abdulaziz Murad, Ahmed Abdulilah Alabdali, Hoda Jehad Abousada, Riyadh Tawfeeq AlMalki, Alanoud Abdullah Alharbi, Abdulbari Hamoud Albalawi, Ahmed Abdulqader Alzahrani, Jassim Mubarak Aljassim
International Journal of Innovative Research in Medical Science·December 20, 2020
Open AccessReview Article
Epigastric Pulsation: Prevalence and Association with Co-Morbidities in Saudi Population, a Cross-Sectional Descriptive Study
Manal Abdulaziz Murad, Hoda Jehad Abousada, Faisal Abdulaziz Almutairi, Emad Bani Alharbi, Khalid Saad Alrashdi, Dr. Mujib Mualla Alotaibi, Khalil Hassan Jafari, Mohammed Oqab Althagafi, Majed Rabie Alhamdan, Saud Mohammed Alotaibi
International Journal of Innovative Research in Medical Science·December 20, 2020
Open AccessReview Article
Awareness of Smoking among Medical Staff in KSA
Manal Abdulaziz Murad, Hoda Jehad Abousada, Raghad Khalid Aljuaid, Amal Saud Almaqati, Rawan Saleh Alotibi, Anas Ali Alzahrnai, Matuq Abdulrahman M Zamzama, Jabr Nahar Bin Jabr Alsulami, Sarah A. Alghabban, Amirah Saad Algethami, Amal Mihmas Alosaimi
International Journal of Innovative Research in Medical Science·December 20, 2020
Open AccessReview Article
Giant Cell Tumor on Tendon Sheath of the Hand: The Incidence of Recurrence, Functional Outcomes and a Literature Review
Kastanis G, Bachlitzanaki M, Kapsetakis P, Christoforidis C, Chaniotakis C, Pantouvaki A
International Journal of Innovative Research in Medical Science·December 28, 2020
Open AccessOriginal Article
Finite Element Analysis on All on Four Implant Screw Retained Mandibular Fixed Prosthesis. (Material Selection Role)
Salah A. Youssef, Rami Mohammed Galal, Ghada E. Hamza, Ghith Fayez Saeed Aldhahri, Ahmad Ramzi Abdu Alzaylaei, Mohammed Saleh Mohammed Alamoudi, Abdullah Abdulrahman Ahmad Benjabi, Yousef Hatem Jayar, Ammar Abdulrahim Abdulqahhar Khoja, Ahmad Mohammad Salem Alsaiary, Muhanad Naser Aljuhani, Abdulrahman Omar Ali Sanyour, Bader Obidullah Alkhozai, Adnan Madani Mohammed Khamis, Salma Sulaiman Alghalayini
International Journal of Innovative Research in Medical Science·December 28, 2020
Open AccessOriginal Article
The Effects of Chemical Disinfection on Dimensional Stability among Different Type of Impression Addition Silicon Materials
Salah A. Yousief, Khames T. Alzahrani, Suha M. Alhuwairini, Fai Y. Alharbi, Dalal A. Eissa, Sara M. Almojaddidi, Maha A. Almalki, Waad E. Alsulami, Waad K. Alsaiari, Abdullah J. Algharamah, Abdulrahman O. Sanyour, Bashayir G. Althagafi, Mamoun M. Abo Khalil
International Journal of Innovative Research in Medical Science·December 28, 2020
