International Journal of Innovative Research in Medical Science
Vol. 5 No. 09 (2020)
Issue 5(09) 2020
September 1, 202014 ArticleseISSN: 2455-8737
Volume 5 · Issue 09
Published: September 1, 2020
Open AccessOriginal Article
Length of Stay in a Community Psychiatric Emergency Room: An Analysis of Contributing Factors
Chiedozie Ojimba, M.D., Adenike Ishola, M.D., Oluwole Jegede M.D., Terence Tumenta, M.D., Samuel Adeyemo, M.D., Olaniyi Olayinka, M.D., Alexander Maksymenko, M.D., Susmita Khadka, M.D., Andrew Shapiro, Karthik Cherukupally, M.D., Ayotomide Oyelakin, M.D., Tolu Olupona, M.D., Jason Hershberger, M.D.
International Journal of Innovative Research in Medical Science·September 1, 2020
Open AccessCase Report
Universal Testing of all Pregnant Women for COVID-19: A Way Forward for Comprehensive Antenatal Care
Hema Divakar, Poorni Narayanan, Rita Singh, Divakar Gubbi Jyothi Girish
International Journal of Innovative Research in Medical Science·September 1, 2020
Open AccessOriginal Article
Complexity Theory: Artificial Intelligence System Help Safety Improvement in the Next Pandemic
Shahad Faisal Halabi
International Journal of Innovative Research in Medical Science·September 1, 2020
Open AccessOriginal Article
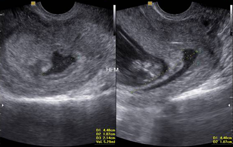
Profile of Patients with Placental Abruption in Ultrasonography
Nickolas Yugo Miyamura Namiuchi, João Italo Fortaleza de Melo, Luiz Dias Dutra, Raphael Oliveira Ramos Franco Netto, Victor Augusto Ramos Fernandes, Rebecca Corrêa Manfredini, Messias Villa Mendonça, Fabio Rocha, Juliana de Almeida Rodrigues Franco Netto, Kayque Wellek Delgado do Amaral, Gabriela Kamiji Baggio Namiuchi
International Journal of Innovative Research in Medical Science·September 1, 2020
Open AccessCase Report
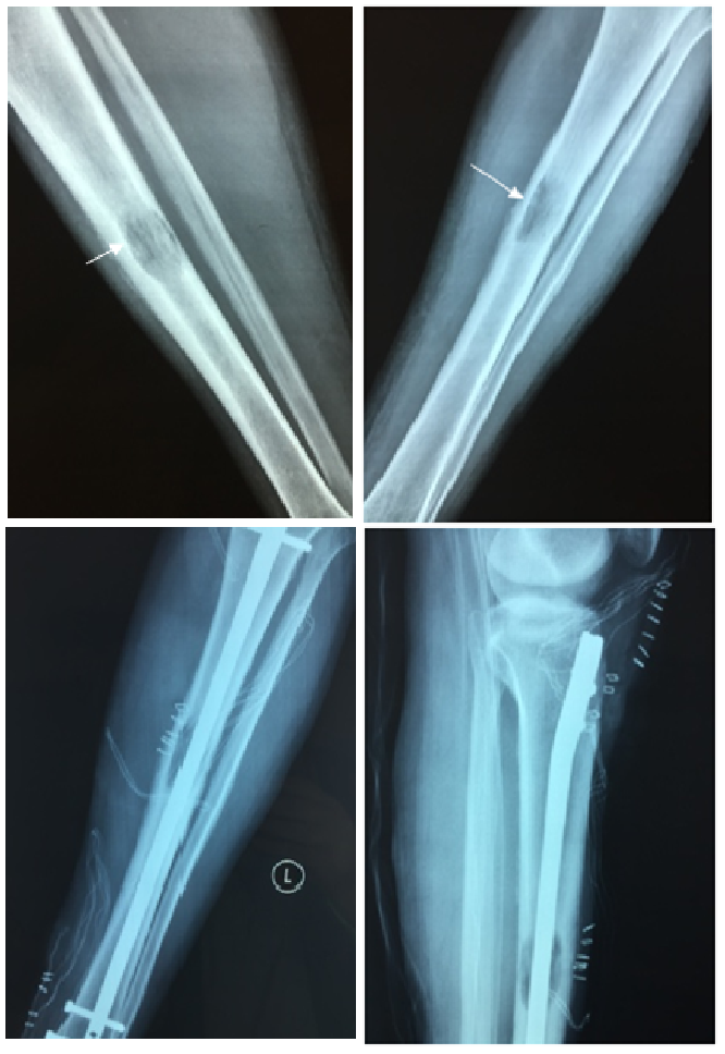
Unusual Tibial Site Metastases from a Muscle Invasive Urothelial Carcinoma: A Rare Case Report
Kastanis G., Bachlitzanaki M., Pantouvaki A., Magarakis G., Spyrantis M.
International Journal of Innovative Research in Medical Science·September 2, 2020
Open AccessCase Report
Multi-System Inflammatory Syndrome in Children (MIS-C) Reported in COVID-19 Positive 2.5-Year Old Boy
Ammar Muhammad Alyousef, Mohammad Abdulkhaliq Alshamrani, Abdulaziz Sayah Alruwaili, Amer Farhan Aldmak, Waleed Ahmad Okash
International Journal of Innovative Research in Medical Science·September 2, 2020
Open AccessCase Report
Acquired Vitamin B12 Deficiency: Cutaneous Hyperpigmentation and Hepato-Splenomegaly in Megaloblastic Anaemia / Pancytopenia Reported in a 15-Month-Old Boy
Faten Ahmad AlKateb, Ahmed Mohammed AlEidan, Layla Bidah AlGahtani, Noura Muteeb AlHowiati, Aziza Fayez AlSwayyed, Abdulaziz Khaled AlAreefy, Mazen Mohammed AlGhofaily
International Journal of Innovative Research in Medical Science·September 13, 2020
Open AccessOriginal Article
Multiple Organ Dysfunction Reduces In-Hospital Survival in COVID-19 Patients
Najiba Abdulrazzaq, Kashif Bin Naeem, Abdalla Alhajiri, Ayman Chkhis, Vinod Choondal, Mona Osman, Kusay Almusa
International Journal of Innovative Research in Medical Science·September 14, 2020
Open AccessOriginal Article
Procalcitonin Uptake and Effect on Antibiotics Stewardship: A Single Institution Experience
Hycienth Ahaneku, MD DrPH, Chukwuemeka A. Umeh, MD DrPH, Mike Cao, MD, Bradley Kapten, MD, Baher Elhalwagi, MD, Tiffany Egbe, MD, Emmanuel Elueze, MD, PhD
International Journal of Innovative Research in Medical Science·September 15, 2020
Open AccessOriginal Article
Mental Health Impact of COVID-19 Pandemic on Health Care Workers in Ebonyi State, Southeast, Nigeria
Okechukwu B. Anozie, Johnbosco I. Nwafor, Ephraim I. Nwokporo, Chidi U. Esike, Richard L. Ewah, Justus N. Eze, Benedict N. Azuogu, Chukwuemeka I. Ukaegbe
International Journal of Innovative Research in Medical Science·September 15, 2020
Open AccessOriginal Article
Etiology, Clinical Profile and Outcome of Acute Respiratory Failure in Adults in Kashmir Valley (North India): A Hospital Based Prospective Study
Dr. Abdul Ahad Wani, Dr. Manzoor Ahmad, Dr. Amir Shafi, Dr. Muzaffar Naik, Dr. Tariq Bhat, Dr. Mubarik Naqash
International Journal of Innovative Research in Medical Science·September 16, 2020
Open AccessCase Report
Duplication of Inferior Vena Cava - A Rare Case Report
Saad M. Al-Shibli, Emad M. Nafie, Ghassan A. Jabir
International Journal of Innovative Research in Medical Science·September 16, 2020
Open AccessOriginal Article
Relating Personality Traits as Predictors of Work-Family Conflict among Hospital Workforce
Bede Chinonye Akpunne, Francis C. Uzonwanne, Joshua Oludare Ogunsemi, Abayomi Olubanjo Olusa
International Journal of Innovative Research in Medical Science·September 16, 2020
Open AccessOriginal Article
The Severity and Extent of Coronary Artery Disease in Khat User Yemeni Patients
Al-Zendani A. S. MD, Al-Dobhani B. A., MD., Al-Garmozi H. M., MD, Ali Ahmed Al-Zaazaai, M.Sc.
International Journal of Innovative Research in Medical Science·September 18, 2020
