International Journal of Innovative Research in Medical Science
Vol. 5 No. 08 (2020)
Issue 5(08) 2020
August 1, 202016 ArticleseISSN: 2455-8737
Volume 5 · Issue 08
Published: August 1, 2020
Open AccessOriginal Article
Application and Evaluation of Case-Based Learning as a Part of Early Clinical Exposure for Undergraduate Medical Education Program
Vandana Daulatabad, Prafull K., Dr. Surekha S. Kadadi-Patil, Ramesh S. Patil
International Journal of Innovative Research in Medical Science·July 21, 2020
Open AccessOriginal Article
Bevacizumab and Sorafenib Modulate P-Glycoprotein Function In Vitro and Bevacizumab Increases In Vivo Sorafenib Plasma Concentrations in Mice
Mahamadou Tandia, Chadi Abbara, Marie-Sophie Noel-Hudson, Dora Amor, Mélanie Polrot, Patrick Gonin, Laurence Bonhomme-Faivre
International Journal of Innovative Research in Medical Science·August 1, 2020
Open AccessReview Article
Could Thyroid Disorders Be Better Understood and Dealt as a Thyroid Syndrome
Dr. Sushma Patil, Dr. Vikrant Patil
International Journal of Innovative Research in Medical Science·August 1, 2020
Open AccessOriginal Article
Prevalence and Factors Associated with Anemia in Pregnancy among Women Receiving Antenatal Care at the West Gonja District Hospital of Northern Ghana
Martin Mumuni Danaah Malick, Aloysius Maalekuu, Odalys Hernandez Rivera
International Journal of Innovative Research in Medical Science·August 1, 2020
Open AccessCase Series
Super-Oxidized Solution Nebulization for the Symptomatic Treatment of Airway Infections Including COVID-19 Cases Report
Dr. Roberto Carlos Rebollar González, Dr. Edgar Torres López
International Journal of Innovative Research in Medical Science·August 1, 2020
Open AccessOriginal Article
Moderate and Timely Water Intake Followed By Micturition Reduces Frequency of Recurrent Urinary Tract Infections and the Prevalence of Virulent Uropathogens in Adult Women
Kamel El-Reshaid, Shaikha Al-Bader
International Journal of Innovative Research in Medical Science·August 1, 2020
Open AccessOriginal Article
Stillbirths: Incidence, Causes and Surrogate Markers of Intrapartum and Antepartum Fetal Deaths
Ojasvi Shanker, Vandana Saini, Mamta Gupta
International Journal of Innovative Research in Medical Science·August 1, 2020
Open AccessReview Article
Ulnar Nerve Neuropathy after Distal Radius Fracture Malunion. Uncommon Intra-Operative Findings and a Review of the Literature
Efstratios D. Athanaselis, Fotios Papageorgiou, Dimitrios Deligeorgis, Konstantinos N. Malizos, Sokratis E. Varitimidis
International Journal of Innovative Research in Medical Science·August 1, 2020
Open AccessOriginal Article
Breast Injuries Classified By Bi-Rads By Magnetic Resonance And Confirmed By Biopsy
Gustavo Vieira Soares De Carvalho, João Italo Fortaleza de Melo, Luiz Dias Dutra, Raphael Oliveira Ramos Franco Netto, Victor Augusto Ramos Fernandes, Rebecca Corrêa Manfredini, Kayque Wellek Delgado do Amaral, Messias Villa Mendonça, Fabio Rocha, Juliana de Almeida Rodrigues Franco Nett, Grissom Soares de Carvalho
International Journal of Innovative Research in Medical Science·August 10, 2020
Open AccessOriginal Article
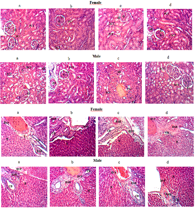
Acute and Subacute Oral Toxicity Studies of the Aqueous Extract from the Stem Bark of Ricinodendron Rautanenii Schinz (Euphorbiaceae) in Wistar Rats
Jacquy Joyce Wanche Kojom, Edwige Laure Nguemfo, Marie-Claire Tchamadeu, Calvin Bogning Zangueu, Edwige Laure Lappa, Christelle Stéphanie Sonfack, Alain Bertrand Dongmo
International Journal of Innovative Research in Medical Science·August 12, 2020
Open AccessOriginal Article
Interpretation of Modified Glucose Tolerance Test among Pregnant Malaysian Women
Muna Kh. Al-kubaisi, Saad M. Al-Shibli, Nilar Win
International Journal of Innovative Research in Medical Science·August 14, 2020
Open AccessOriginal Article
Effectiveness of Comprehensive Diabetes Care (CDC) in Diabetic Patients: an Observational Study
Rohit Sane, Rahul Mandole, Gurudatta Anand Amin, Pravin Ghadigaokar, Sneha Paranjape
International Journal of Innovative Research in Medical Science·August 14, 2020
Open AccessReview Article
Challenges of Glycemic Control in COVID-19 Patients with Diabetes Mellitus in Resource-poor Settings
Esan A., Azeez T. A.
International Journal of Innovative Research in Medical Science·August 14, 2020
Open AccessOriginal Article
Complementary and Alternative Medicine: Are Medical Students in AlKhobar, Saudi Arabia Interested?
Naela B. Alamoudi, Sarah A. Itani, Marwa M. Shafey, Moataza M. Abdel Wahab
International Journal of Innovative Research in Medical Science·August 15, 2020
Open AccessOriginal Article
Correlation of Height Parameter and Pulmonary Function Test with Grade of Allergic Rhinitis and Asthma in Children
Sadaf Choudhary, Keya Rani Lahiri, Fehmida Najmuddin
International Journal of Innovative Research in Medical Science·August 16, 2020
Open AccessCase Series
Two Chronic Myeloid Leukemia Patients Presenting with Isolated Thrombocytosis
Mehmet Hilmi DOGU, Istemi SERIN, Elif SUYANI
International Journal of Innovative Research in Medical Science·August 20, 2020
