International Journal of Innovative Research in Medical Science
Vol. 4 No. 11 (2019)
Issue 4(11) 2019
November 1, 20198 ArticleseISSN: 2455-8737
Volume 4 · Issue 11
Published: November 1, 2019
Open AccessCase Report
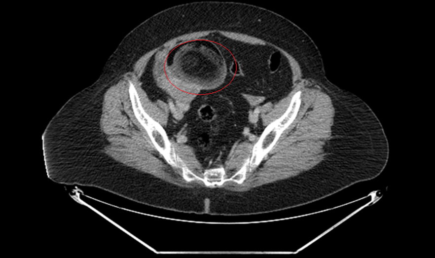
Metastatic Uterine Leiomyosarcoma in a Nullipara with Primary Infertility: A Case Report
Okechukwu B. Anozie, Johnbosco I. Nwafor, Chidi U. Esike, Chukwuemeka I. Ukaegbe, Richard L. Ewah, Emeka O. Onwe, Justus N. Eze, Sunday U. Asogwa
International Journal of Innovative Research in Medical Science·November 1, 2019
Open AccessCase Report
Chronic Plaque Psoriasis Exacerbated by Telmisartan Therapy: A Case Report
Amisha ., Paras Malik, Monika Pathania, Vyas Kumar Rathaur
International Journal of Innovative Research in Medical Science·November 2, 2019
Open AccessCase Report
Malignant Transformation of Ovarian Mature Teratoma: About a Case and Literature Review
Nisrine Acharfi, Karima Oualla, Hajar Ouahbi, Zineb Benbrahim, Samia Arifi, Hind EL Fatemi, Meryem Boubou, Chahrazed Bouchikhi, Abdelaziz Banani, Nawfel Mellas
International Journal of Innovative Research in Medical Science·November 10, 2019
Open AccessReview Article
Chromosomal Heteromorphism with Reference to Cancer and Reproduction in Human: An Appraisal
Nidhi P. Shah, Parth S. Shah, Jeanny Dominic, Bhavini S. Shah, Sandip S. Shah, Mandava V. Rao
International Journal of Innovative Research in Medical Science·November 24, 2019
Open AccessOriginal Article
Influence of Technology on the Study Habits of Students at RAK Medical and Health Sciences University
Dr. Huma Zaidi, Dr. Rabab Abd El Kader, Ms. Sheeba David, Dr. Abeer Sharmeen Rahman, Dr. Raghavendra Bhat
International Journal of Innovative Research in Medical Science·November 24, 2019
Open AccessOriginal Article
Air Bacteriology of Operation Theatres and Intensive Care Units from a Tertiary Care Hospital in New Delhi
Patel Pritikumari, Shalini Malhotra, Saloni Garg, Renu Yadav, NK Bhatia, Nandini Duggal
International Journal of Innovative Research in Medical Science·November 25, 2019
Open AccessOriginal Article
Lumbar Forces While Making a Bed With and Without an Instant Tuck™ Mat
Dr. Adrian Gluck, Dr. Armia Abdo, Dr. Hani Al-Nakhli
International Journal of Innovative Research in Medical Science·November 25, 2019
Open AccessOriginal Article
Epidemiology and Outcomes of Acute Respiratory Syndrome in Aged Patients with Overlap Syndrome
Hakan Celikhisar, Gulay Dasdemir Ilkhan
International Journal of Innovative Research in Medical Science·December 3, 2019
