International Journal of Innovative Research in Medical Science
Vol. 4 No. 01 (2019)
Issue 4(01) 2019
January 1, 201916 ArticleseISSN: 2455-8737
Volume 4 · Issue 01
Published: January 1, 2019
Open AccessOriginal Article
Conventional Dacryocystorhinostomy Versus Pawar’s Implant Dacryocystorhinostomy- A Prospective Study
Shivcharan Lal Chandravanshi, Sunil Kumar Shrivastava, Devendra Kkumar Shakya, Uma Saran Tiwari
International Journal of Innovative Research in Medical Science·January 9, 2019
Open AccessOriginal Article
Trend of Mantoux Positivity in a Tertiary Health Institution in Nigeria: A Secondary Data Analysis
Genevieve Edokwe, Inumanye N. Ojule, Alafaka Tobin
International Journal of Innovative Research in Medical Science·January 9, 2019
Open AccessCase Report
Anaesthesia for Caesarean Section in a Jehovah’s Witness with Antepartum Haemorrhage: A Case Report
Eze Onyegbule Okubuiro, Chinwe Edith Okoli
International Journal of Innovative Research in Medical Science·January 12, 2019
Open AccessOriginal Article
Efficacy and Safety for the Combination of Levosalbutamol, Ambroxol and Guaifenesin for the Symptomatic Treatment of Productive Cough: Phase IV Clinical Trial
Dr. Mayuresh Dilip Kiran, Lalit Jeevan Pawaskar, Shaheen Naseem Sheikh
International Journal of Innovative Research in Medical Science·January 12, 2019
Open AccessOriginal Article
Efficacy and Safety of Teneligliptin in Patients of Type 2 Diabetes Mellitus with Chronic Kidney Disease: ATEND-CKD Study
Dr. Mayuresh Dilip Kiran, Dr. Monali Vakharia, Lalit Jeevan Pawaskar, Shaheen Naseem Sheikh
International Journal of Innovative Research in Medical Science·January 12, 2019
Open AccessOriginal Article
The Profile of Syphilis and Human Immunodeficiency Virus (HIV) Infection in Street Children at Home Shelter of Social Services in Medan
Rabiah Gemala, Richard Hutapea, Kristina Nadeak
International Journal of Innovative Research in Medical Science·January 17, 2019
Open AccessOriginal Article
Women with Severe Anemia in Labor: Adverse Clinical Outcomes
Dr. Ruchika Singh, Dr. Mamta Gupta, Dr. Vandana Saini
International Journal of Innovative Research in Medical Science·January 20, 2019
Open AccessOriginal Article
Effect of Stress Management in Over-weight and Obese Women
Dr Shweta Kotwani, Dr. Amita Mehta
International Journal of Innovative Research in Medical Science·January 20, 2019
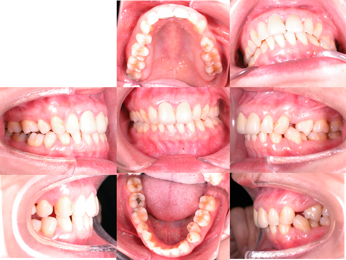
Open AccessCase Report
ISW for the Treatment of Deviated and Rotated Teeth
Chun-shuo HUANG, Jian-hong YU
International Journal of Innovative Research in Medical Science·January 20, 2019
Open AccessOriginal Article
Prevalence of Musculoskeletal Discomfort in Bank Employees
Shweta Kotwani Kotwani, Nikita Sinha, Vrushali Panhale
International Journal of Innovative Research in Medical Science·January 20, 2019
Open AccessOriginal Article
To Compare the Supraclavicular and Infraclavicular Approaches of Brachial Plexus Block for Upper Limb Surgery Using 0.05mg of Dexmedetomidine and 30ml of 0.5% Ropivacaine
Dr. Balwinder Kaur, Dr Tejinderpal Kaur Grewal, Dr. Shelly Aggarwal
International Journal of Innovative Research in Medical Science·January 23, 2019
Open AccessOriginal Article
Comparison of Dexmedetomidine Plus Ketamine Combination with Dexmedetomidine Plus Propofol for Awake Fiberoptic Nasotracheal Intubation: A Prospective Randomised and Controlled Clinical Trial
Balwinder Kaur, Anubha Garg, Parmod Kumar, Dr. Nisha Yadav
International Journal of Innovative Research in Medical Science·January 24, 2019
Open AccessOriginal Article
Burden of Malaria in three Endemic Districts of Bhutan: Road to Malaria Elimination
Vishal Chhetri, Tobgyel Dukpa, Rinzin Namgay, Kesang Wangchuk, Hari Prasad Pokrel
International Journal of Innovative Research in Medical Science·January 24, 2019
Open AccessOriginal Article
A Multi-centered Study to Evaluate the Efficacy and Safety of Amitriptyline and Mecobalamine in the Management of Neuropathic Pain
Dr. Mayuresh Dilip Kiran, Shaheen Naseem Sheikh, Lalit Jeeevan Pawaskar
International Journal of Innovative Research in Medical Science·January 24, 2019
Open AccessOriginal Article
Safety and Efficacy of the Combination of Amitriptyline and Pregabalin SR in Severe Neuropathic Pain: Data of Logic Trial
Dr. Mayuresh Dilip Kiran, Lalit Pawaskar, Shaheen Naseem Sheikh
International Journal of Innovative Research in Medical Science·January 24, 2019
Open AccessOriginal Article
Expression of Mesothelial Marker Calretinin in Breast Cancer
Dr. Kalathingal Kamarunisha Aboobacker, Dr. Prema Saldanha
International Journal of Innovative Research in Medical Science·January 26, 2019
