International Journal of Innovative Research in Medical Science
Vol. 3 No. 12 (2018)
Issue 3(12) 2018
December 1, 201822 ArticleseISSN: 2455-8737
Volume 3 · Issue 12
Published: December 1, 2018
Open AccessOriginal Article
Ultrasonography Measurement of Abdominal Subcutaneous Fat Thickness and Its Correlation with Hyperlipidemia and Steatohepatitis in Obese People
Dr. Roshani Pathak, Sunil Pradhan, Abhushan Tuladhar, Amit Shrestha, Riwaz Acharya
International Journal of Innovative Research in Medical Science·December 2, 2018
Open AccessOriginal Article
Vascular Dysfunction in Aging and Related Disease
Dr. Pranjali Deshpande, Dr. Deepak S. Howale
International Journal of Innovative Research in Medical Science·December 2, 2018
Open AccessOriginal Article
Nasolabial Flap Tunneled Under Mandible (NLFTUM) - An Alternative to Free Flap, in T3 Tongue Reconstruction
Dr. Jeyashanth Riju, Dr. Shaji Thomas, Dr. Elizabeth Mathew, Dr. Nebu Abraham George
International Journal of Innovative Research in Medical Science·December 3, 2018
Open AccessOriginal Article
Marijuana: To Use or Not to Use
Sonal Banzal, Dr. Udaya M Kabadi
International Journal of Innovative Research in Medical Science·December 3, 2018
Open AccessOriginal Article
Knowledge and Attitude on Pain Management among Final Year Nursing and Midwifery Students of Khesar Gyalpo University of Medical Sciences of Bhutan
Kuenzang ., Hari Prasad Pokhrel, Passang Lhamo Sherpa
International Journal of Innovative Research in Medical Science·December 3, 2018
Open AccessOriginal Article
Clinicopathological Correlation in Patients of Lymphadenopathy in Tertiary Care Hospital
Dr. Amol R. Rajhans, MD, Dr. Deepak S. Howale
International Journal of Innovative Research in Medical Science·December 7, 2018
Open AccessOriginal Article
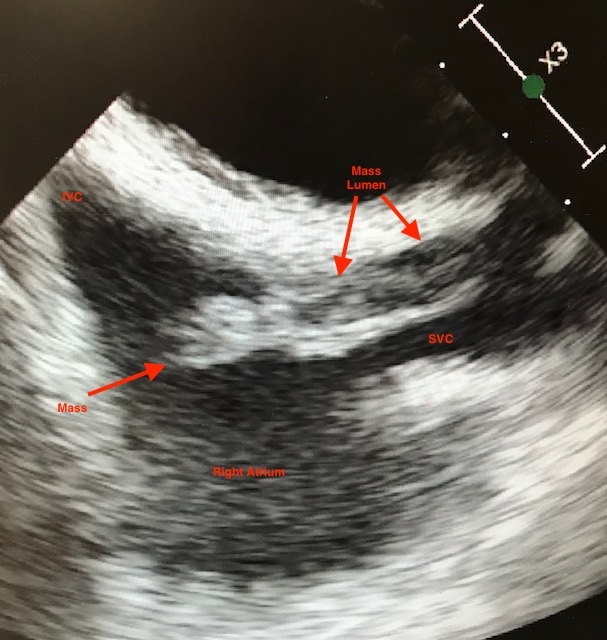
“Hiding In Plain Sight” Chronic Kidney Disease and Potential Consequences of the Proinflammatory State: Hemodialysis Catheter-Related Masses
John D. Rozich, M.D., Ph.D., Jacob J. Rozich, M.S., Noah S. Rozich, M.D
International Journal of Innovative Research in Medical Science·December 7, 2018
Open AccessOriginal Article
Use of Chlorhexidine Solution as an Additional Step in Combination with Conventional and Two or Three Step Adhesive Systems
Diogo de Azevedo Miranda, Ana Paula Bartocci
International Journal of Innovative Research in Medical Science·December 7, 2018
Open AccessOriginal Article
Tumor-Infiltrating Lymphocytes in Breast Carcinoma: Immunohistochemical Analysis
Dr. Amol R. R. Rajhans, MD, Dr. Deepak S. Howale
International Journal of Innovative Research in Medical Science·December 7, 2018
Open AccessOriginal Article
Cardiovascular Autonomic Function in Individuals with Rheumatoid Arthritis
Dr. Pranjali Deshpande, Dr. Deepak S. Howale
International Journal of Innovative Research in Medical Science·December 7, 2018
Open AccessOriginal Article
Knowledge of Partograph Recording and Interpretation and Its Documentation Status in Samdrup Jongkhar District, Bhutan
Kuenzang ., Hari Prasad Pokhrel, Kezang Dorji, Dorji Rinzin
International Journal of Innovative Research in Medical Science·December 7, 2018
Open AccessOriginal Article
Role of Ultrasonography in Diagnosing Acute Cholecystitis and Correlation with Intra-operative Findings
Bal Jaskaran Singh, Sudershan Kapoor
International Journal of Innovative Research in Medical Science·December 15, 2018
Open AccessOriginal Article
Effect of t (11; 19) (q23; p13.1) Gene on Proliferation and Apoptosis of SGC 7901 Gastric Cancer Cell Line
Hai-Bo Zhou, Wang-Qian Ma, Li-Ming Shao
International Journal of Innovative Research in Medical Science·December 18, 2018
Open AccessCase Report
Acupuncture Treatment in Patient with Uterine Polyp
Prof Dr Jihe Zhu, BSc Blagica Arsovska, BSc Kristina Kozovska
International Journal of Innovative Research in Medical Science·December 19, 2018
Open AccessReview Article
An Untoward Effect: Anticoagulation Therapy in Cancer Patients Leads to Gastrointestinal Bleeding and Increased Mortality
Dr. Arine Mathew
International Journal of Innovative Research in Medical Science·December 20, 2018
Open AccessReview Article
Pulmonary Complications and Critical Care in Cancer Patients
Dr. B. A. Darmi, MD
International Journal of Innovative Research in Medical Science·December 20, 2018
Open AccessReview Article
Role of C-Reactive Protein in Peripheral Arterial Disease
Dr. Robert Skopec Ibaram
International Journal of Innovative Research in Medical Science·December 20, 2018
Open AccessCase Report
Spontaneous Ureteral Rupture Secondary to Obstructing Stone
Dr. B. K. Sudhir, MD
International Journal of Innovative Research in Medical Science·December 20, 2018
Open AccessOriginal Article
Ear Abuse among School Children in Ekiti, Nigeria
Toye Gabriel Olajide, Oyebanji Anthony Olajuyin, Adebisi Paul Eletta, Adepeju Oluwatona Dosunmu
International Journal of Innovative Research in Medical Science·December 25, 2018
Open AccessThesis
Effect of Exercise and Zoledronic Acid on Lipid Profile and Bone Remodeling in Ovariectomized Rats
Ahmed Sayed Khashaba, M.B.B.CH. MD. PhD, Fawaz Salem Al Batati, Abdulrhman Al Saffan BDS, MSc
International Journal of Innovative Research in Medical Science·December 26, 2018
Open AccessOriginal Article
Ventilator Associated Pneumonia: Continuous Versus Intermittent Administration of Piperacillin-Tazobactam in Intensive Care Unit Of
Dr. Mahendra M. Sawarkar, Dr. Shushrut Mahendra Sawarkar
International Journal of Innovative Research in Medical Science·December 29, 2018
Open AccessOriginal Article
Healthcare Associated Urinary Tract Infections in Medicine Wards
Dr. Mahendra M. Sawarkar, Dr. Shushrut Mahendra Sawarkar
International Journal of Innovative Research in Medical Science·December 29, 2018
